歯の豆知識
2026.04.27
歯を強く磨くとどうなるの?🪥
こんにちは🙋🏻♀️あま歯科クリニックのSです。今日は歯を強く磨くとどうなるのかについてお話していきます。
「しっかり磨かなきゃ」と思って、つい力を入れていませんか?患者様から「歯ぐきが下がってきた気がする」「冷たいものがしみる」といったご相談をよくいただきます。実はその原因の一つが、“歯を強く磨くこと”にあるケースも少なくありません。
毎日の歯みがきは健康のための習慣ですが、方法を間違えると逆効果になることもあります。あま歯科クリニックでは、こうした日常ケアの見直しも大切にしています。歯を守るつもりの行動が、知らず知らずのうちに負担になっていないか、一緒に見直してみませんか?
強く磨く人に多いお悩みとは?
歯を強く磨く習慣がある方には、次のような症状が見られることがあります。
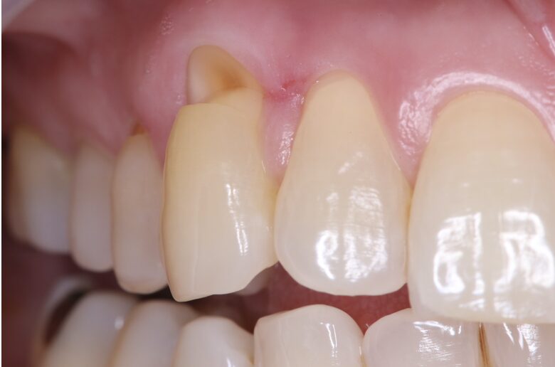
- 歯ぐきが下がる(歯肉退縮)
- 歯の根元が削れる(くさび状欠損)
- 知覚過敏でしみる
- 歯ぐきがヒリヒリする
「しっかり磨いているのにトラブルが起きる」というのは、少し不思議に感じますよね。しかし、これは“力の入れすぎ”が原因かもしれません。

歯を強く磨くとどうなるの?
歯はとても硬いですが、実は表面のエナメル質の下にはやわらかい象牙質があります。強い力でゴシゴシ磨くと、少しずつこの部分が削れてしまいます。
たとえば、毎日同じ場所を硬いスポンジでこすり続けると、だんだん表面が傷ついていくイメージです。歯も同じで、長年の積み重ねが影響します。
また、歯ぐきにもダメージが加わり、下がってしまうことがあります。その結果、歯の根元が露出し、「しみる」という症状につながるのです。
あま歯科クリニックの取り組み
あま歯科クリニックでは、治療だけでなく「正しい歯みがき方法」の指導にも力を入れています。
第三者の視点から見ると、「力を抜いて磨く」というシンプルなことが、実はとても重要です。
患者さま一人ひとりの磨き方の癖を確認し、無理のない改善方法をご提案しています。
正しいケアの流れとは?
一般的には、次のような流れでケアを見直します。
- 歯や歯ぐきの状態を確認
- 現在の磨き方を確認
- 適切なブラッシング方法の指導
- 必要に応じて知覚過敏などのケア
大切なのは、「強く磨く力」ではなく「適切なブラッシング圧」と「正確さ」です。
よくある質問
Q. 歯を強く磨くと汚れがよく落ちますか?
A. 必ずしもそうではありません。むしろ毛先が広がり、汚れが落ちにくくなることがあります。
Q. どのくらいの力で磨けばいいですか?
A. 目安は「鉛筆を持つくらいの軽い力」です。優しく小刻みに動かしましょう。
Q. すでにしみる場合はどうすればいいですか?
A. 知覚過敏の可能性があります。症状に応じた処置やケア方法をご案内します。
まとめ|今日からできる小さな改善
歯を強く磨くことは、一見良い習慣に見えます。しかし、長い目で見ると歯や歯ぐきに負担をかけることがあります。
「ちゃんと磨いているのに不調がある」
そんな方は、一度ケア方法を見直すタイミングかもしれません。
あま歯科クリニックでは、日々のケアからサポートしています。気になる症状がある方は、お気軽にご相談ください。あなたの歯を長く守るための第一歩を、一緒に始めていきましょう。
カテゴリ
年別カテゴリ
月別カテゴリ
- 2026年5月 (3)
- 2026年4月 (4)
- 2026年3月 (1)
- 2026年2月 (5)
- 2026年1月 (2)
- 2025年12月 (3)
- 2025年11月 (1)
- 2025年10月 (1)
- 2025年8月 (1)
- 2025年7月 (1)
- 2025年5月 (2)
- 2025年4月 (4)
- 2025年3月 (5)
- 2024年11月 (1)
- 2024年9月 (6)
- 2024年8月 (3)
- 2024年7月 (1)
- 2024年5月 (1)
- 2024年4月 (5)
- 2024年3月 (2)
- 2024年2月 (1)
- 2023年11月 (1)
- 2023年10月 (1)
- 2023年9月 (1)
- 2023年8月 (1)
- 2023年7月 (1)
- 2023年5月 (3)
- 2023年4月 (3)
- 2023年3月 (3)
- 2023年2月 (1)
- 2023年1月 (1)
- 2022年8月 (1)
- 2022年5月 (1)
- 2022年4月 (4)
- 2022年2月 (2)
- 2022年1月 (1)
- 2021年12月 (1)
- 2021年10月 (3)
- 2021年8月 (4)
- 2021年7月 (3)
- 2021年5月 (3)
- 2021年4月 (9)
- 2021年3月 (1)
- 2021年2月 (1)
- 2021年1月 (3)
- 2020年12月 (4)
- 2020年11月 (3)
- 2020年10月 (3)
- 2020年9月 (2)
- 2020年5月 (3)
- 2020年4月 (1)
- 2020年3月 (1)
- 2020年2月 (1)
- 2020年1月 (1)
- 2019年11月 (2)
- 2019年10月 (1)
- 2019年9月 (1)
- 2019年8月 (3)
- 2019年7月 (2)
- 2019年6月 (2)
- 2019年5月 (1)
- 2019年4月 (5)
- 2019年3月 (2)
- 2019年1月 (4)
- 2018年12月 (6)
- 2018年11月 (3)
- 2018年10月 (2)
- 2018年9月 (6)
- 2018年8月 (3)
- 2018年7月 (6)
- 2018年6月 (1)
- 2018年5月 (2)
- 2018年4月 (4)
- 2018年2月 (1)
- 2018年1月 (2)
- 2017年12月 (2)
- 2017年11月 (1)
- 2017年9月 (1)
- 2017年8月 (2)
- 2017年7月 (8)
- 2017年6月 (6)
- 2017年5月 (2)