歯の豆知識
2026.04.20
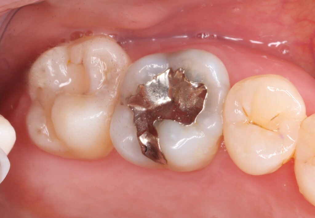
その銀歯、大丈夫?見えないところで進むむし歯の話
こんにちは☀️あま歯科クリニックのSです!
「ちゃんと治療したはずなのに、またむし歯?」
そんな経験はありませんか。特に30代以降の方に多いのが、“銀歯の下で進行するむし歯”です。見た目は問題なさそうでも、実は中で静かに進んでいることがあります。

⸻

■なぜ銀歯の下はむし歯になりやすいのか
銀歯は保険診療で広く使われてきた素材ですが、時間の経過とともに歯との間にわずかな隙間が生じることがあります。この隙間に細菌が入り込むと、外から見えないままむし歯が進行してしまいます。
たとえるなら、「しっかり閉めたはずのドアに、ほんの少しすき間ができて、そこから雨が入り込む」ような状態です。最初は気づかなくても、気づいたときには中が傷んでいる…というケースも少なくありません。
⸻
■気づきにくいからこそ注意が必要!
銀歯の下のむし歯は、痛みが出にくいのが特徴です。
「しみないし大丈夫」と思っていても、実際には深いところまで進行していることもあります。
患者さんとの会話でも、
「違和感はあったけど放置していました」
という声をよく耳にします。症状が出にくいからこそ、定期的なチェックが重要になります。
⸻
■再発を防ぐためにできること
では、どうすれば銀歯の下のむし歯を防げるのでしょうか。
ポイントは大きく3つあります。
・精密な治療で隙間を最小限にすること
・適合の良い被せ物を選ぶこと
・定期的なメンテナンスで早期発見すること
特に治療の精度はとても重要です。わずかな段差や隙間が、将来的なむし歯リスクに影響します。
⸻
■当院の取り組み
島根県松江市宍道町にある医療法人フロンティア あま歯科クリニックでは、マイクロスコープ(歯科用顕微鏡)を使用した精密な治療を行っています。
肉眼では見えにくい細かな部分まで拡大して確認することで、より精度の高い処置が可能になります。これにより、被せ物の適合性を高め、むし歯の再発リスクを抑えることを目指しています。
⸻
■まとめ:見えないからこそ、定期的なチェックを
銀歯の下のむし歯は「気づいたときには進んでいる」ことが多いのが特徴です。
だからこそ、「症状がない=大丈夫」とは限りません。
「最近、歯医者に行っていないな」
「昔入れた銀歯が気になる」
そんな方は、一度チェックを受けてみてはいかがでしょうか。
早期発見・早期対応が、大切な歯を守る第一歩になります!
カテゴリ
年別カテゴリ
月別カテゴリ
- 2026年5月 (3)
- 2026年4月 (4)
- 2026年3月 (1)
- 2026年2月 (5)
- 2026年1月 (2)
- 2025年12月 (3)
- 2025年11月 (1)
- 2025年10月 (1)
- 2025年8月 (1)
- 2025年7月 (1)
- 2025年5月 (2)
- 2025年4月 (4)
- 2025年3月 (5)
- 2024年11月 (1)
- 2024年9月 (6)
- 2024年8月 (3)
- 2024年7月 (1)
- 2024年5月 (1)
- 2024年4月 (5)
- 2024年3月 (2)
- 2024年2月 (1)
- 2023年11月 (1)
- 2023年10月 (1)
- 2023年9月 (1)
- 2023年8月 (1)
- 2023年7月 (1)
- 2023年5月 (3)
- 2023年4月 (3)
- 2023年3月 (3)
- 2023年2月 (1)
- 2023年1月 (1)
- 2022年8月 (1)
- 2022年5月 (1)
- 2022年4月 (4)
- 2022年2月 (2)
- 2022年1月 (1)
- 2021年12月 (1)
- 2021年10月 (3)
- 2021年8月 (4)
- 2021年7月 (3)
- 2021年5月 (3)
- 2021年4月 (9)
- 2021年3月 (1)
- 2021年2月 (1)
- 2021年1月 (3)
- 2020年12月 (4)
- 2020年11月 (3)
- 2020年10月 (3)
- 2020年9月 (2)
- 2020年5月 (3)
- 2020年4月 (1)
- 2020年3月 (1)
- 2020年2月 (1)
- 2020年1月 (1)
- 2019年11月 (2)
- 2019年10月 (1)
- 2019年9月 (1)
- 2019年8月 (3)
- 2019年7月 (2)
- 2019年6月 (2)
- 2019年5月 (1)
- 2019年4月 (5)
- 2019年3月 (2)
- 2019年1月 (4)
- 2018年12月 (6)
- 2018年11月 (3)
- 2018年10月 (2)
- 2018年9月 (6)
- 2018年8月 (3)
- 2018年7月 (6)
- 2018年6月 (1)
- 2018年5月 (2)
- 2018年4月 (4)
- 2018年2月 (1)
- 2018年1月 (2)
- 2017年12月 (2)
- 2017年11月 (1)
- 2017年9月 (1)
- 2017年8月 (2)
- 2017年7月 (8)
- 2017年6月 (6)
- 2017年5月 (2)