歯の豆知識
2026.02.01
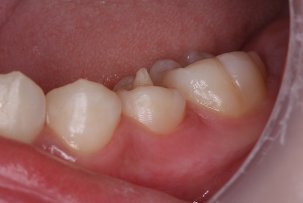
その小さな突起、放置NG!中心結節は“神経トラブル”の入口です
中心結節(ちゅうしんけっせつ)という言葉を聞いたことはありますか?
これは、歯の噛む面(咬合面)の真ん中あたりに「小さなツノのような出っ張り」ができる状態のことで、特に小臼歯で見られます。

見た目は小さくても、放置すると神経のトラブルにつながることがあるため注意が必要です。
中心結節は、小学校の3年生から6年生くらいの時期に生えてくる小臼歯によく見られます。
ちょうど永久歯への生え変わりが進み、「奥歯が増えてきたな」と感じる頃に出てくることが多いのが特徴です。問題は、この出っ張りが“折れやすい”こと。
中心結節は噛む面に突き出ている分、食事中の強い力や歯ぎしり、硬いものを噛んだ拍子などで欠けたり折れたりすることがあります。さらに重要なのが、中心結節の中に神経(歯髄)が入り込んでいることがある点です。
もし中心結節が折れて神経が露出すると、そこから細菌が入り込み、神経が感染して炎症を起こすリスクが一気に高まります。そうなると、強いしみる症状や痛みが出たり、場合によっては神経を取る治療(根管治療)が必要になってしまいます。
つまり「小さな欠け」でも、治療が大きくなりやすいのが中心結節の怖いところです。だからこそ、中心結節を見つけたら早めの対応がとても大切です。
基本的には、折れないように周りを樹脂(レジン)で固めて補強し、噛む力が一点に集中しないように守ってあげることが有効です。症状が出ていない段階で予防的に処置をしておくことで、将来の神経のトラブルを避けられる可能性が高まります。
一方で、中心結節は奥歯の噛む面にできるため、自分で見てもよく見えないことがほとんどです。鏡で頑張って確認しようとしても、角度的に見えにくく「あるのか、ないのか分からない」というケースが多いです。また、中心結節と似た形の溝や小さな膨らみもあり、自己判断は難しいのが現実です。そのため、気になる場合は歯科医師の診察が必要になります。
お子さんが「奥歯がしみる」「噛むと痛い気がする」「なんとなく違和感がある」と言ったときや、学校歯科健診で指摘を受けたときは、できるだけ早めに歯科医院で確認しましょう。
中心結節は、早期発見・早期補強ができれば、神経を守れる可能性が十分にあります。小学校中学年〜高学年の時期は特に要チェック。
大切な永久歯を守るために、気になったら早めに歯科で相談してみてください。
カテゴリ
年別カテゴリ
月別カテゴリ
- 2026年5月 (3)
- 2026年4月 (4)
- 2026年3月 (1)
- 2026年2月 (5)
- 2026年1月 (2)
- 2025年12月 (3)
- 2025年11月 (1)
- 2025年10月 (1)
- 2025年8月 (1)
- 2025年7月 (1)
- 2025年5月 (2)
- 2025年4月 (4)
- 2025年3月 (5)
- 2024年11月 (1)
- 2024年9月 (6)
- 2024年8月 (3)
- 2024年7月 (1)
- 2024年5月 (1)
- 2024年4月 (5)
- 2024年3月 (2)
- 2024年2月 (1)
- 2023年11月 (1)
- 2023年10月 (1)
- 2023年9月 (1)
- 2023年8月 (1)
- 2023年7月 (1)
- 2023年5月 (3)
- 2023年4月 (3)
- 2023年3月 (3)
- 2023年2月 (1)
- 2023年1月 (1)
- 2022年8月 (1)
- 2022年5月 (1)
- 2022年4月 (4)
- 2022年2月 (2)
- 2022年1月 (1)
- 2021年12月 (1)
- 2021年10月 (3)
- 2021年8月 (4)
- 2021年7月 (3)
- 2021年5月 (3)
- 2021年4月 (9)
- 2021年3月 (1)
- 2021年2月 (1)
- 2021年1月 (3)
- 2020年12月 (4)
- 2020年11月 (3)
- 2020年10月 (3)
- 2020年9月 (2)
- 2020年5月 (3)
- 2020年4月 (1)
- 2020年3月 (1)
- 2020年2月 (1)
- 2020年1月 (1)
- 2019年11月 (2)
- 2019年10月 (1)
- 2019年9月 (1)
- 2019年8月 (3)
- 2019年7月 (2)
- 2019年6月 (2)
- 2019年5月 (1)
- 2019年4月 (5)
- 2019年3月 (2)
- 2019年1月 (4)
- 2018年12月 (6)
- 2018年11月 (3)
- 2018年10月 (2)
- 2018年9月 (6)
- 2018年8月 (3)
- 2018年7月 (6)
- 2018年6月 (1)
- 2018年5月 (2)
- 2018年4月 (4)
- 2018年2月 (1)
- 2018年1月 (2)
- 2017年12月 (2)
- 2017年11月 (1)
- 2017年9月 (1)
- 2017年8月 (2)
- 2017年7月 (8)
- 2017年6月 (6)
- 2017年5月 (2)